

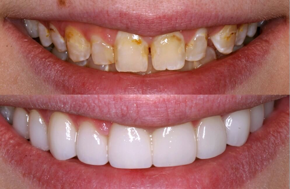
Biggest benefits of porcelain veneers is the fact that they can so highly customized that they’re often indistinguishable from your healthy teeth.


Get access to thousands of high-impact keywords tailored for your business in minutes.
Quickly look up and save a specific keyword to use in your content creation.
Generate SEO optimised content based on your keywords and/or uploaded files as input.
Turn anything (pdf, text file, image or presentation) into SEO optimized content in 60 seconds or less.
Get ideas for an article, blog post, presentation or landing page based on any topic or keyword.
Improve SEO content with AI to rank higher on search engines.
Translate an article or Keyword Plan to any market and language without losing the message.
Write, edit and future-proof your content with the help of AI.
Get access to thousands of high-impact keywords tailored for your business in minutes.
Quickly look up and save a specific keyword to use in your content creation.
Generate SEO optimised content based on your keywords and/or uploaded files as input.
Turn anything (pdf, text file, image or presentation) into SEO optimized content in 60 seconds or less.
Get ideas for an article, blog post, presentation or landing page based on any topic or keyword.
Improve SEO content with AI to rank higher on search engines.
Translate an article or Keyword Plan to any market and language without losing the message.
Write, edit and future-proof your content with the help of AI.
Biggest benefits of porcelain veneers is the fact that they can so highly customized that they’re often indistinguishable from your healthy teeth.
Prosper Cosmetic Dentistry Services - At Open Late Cosmetic Dentistry & Orthodontics, We don’t believe it is ever too late to get started on the journey towards a happy and healthy smile.







