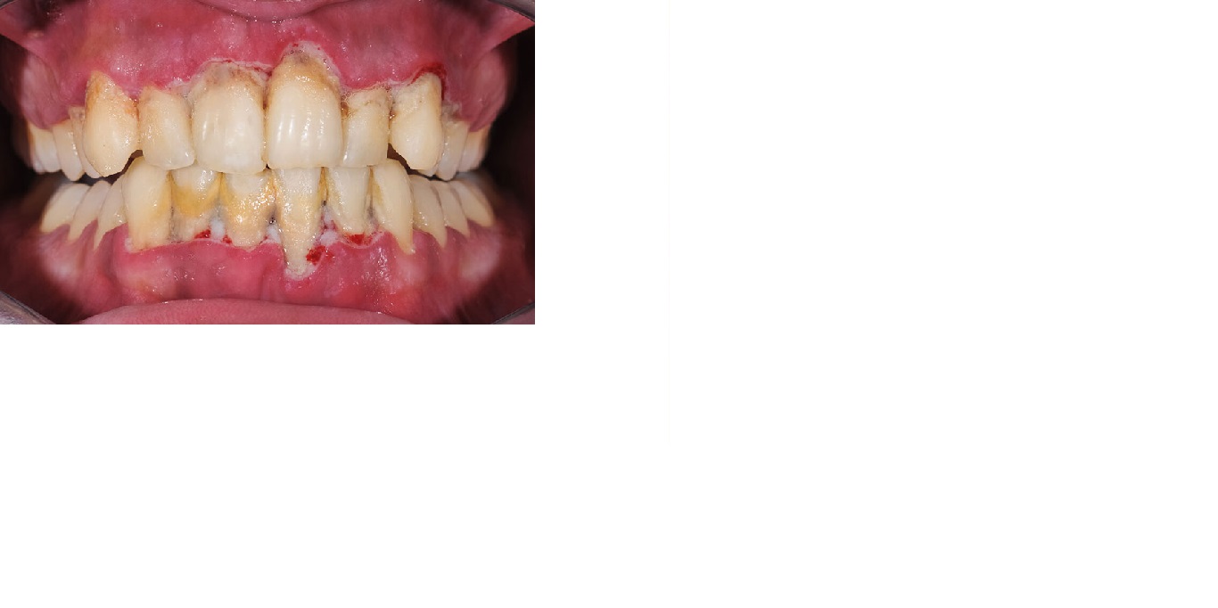
Periodontal or gum disease is one of the common dental problems and it mainly infects your gum tissues in your mouth.
The cause behind gum diseases can be poor dental hygiene that buildup a layer of bacteria on the teeth which is called plaque.
In recent research its found that half of the Americans are suffering from periodontitis, the more advanced form of periodontal disease.
Our expert dentists in Des Moines would like to share more about gum disease and how it can be treated to remove plaque.Learn more: Gum Disease: Causes, Symptoms, and Treatment