

![]()
Do you feel self-conscious smiling because of your crooked or misaligned teeth? This is a very common problem and one that we see often. The good news is that crooked teeth can usually be improved. There are many different ways to straighten teeth but some methods take longer than others to achieve good results. At Hope Park Dental we offer a range of speedy but very effective teeth straightening treatments.These are two treatments that we recommend
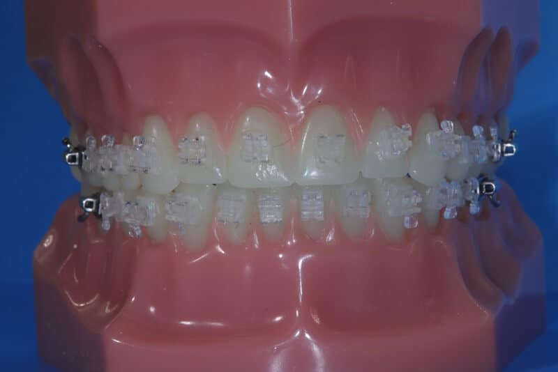
Fixed Braces
This method uses clear brackets and tooth-coloured wires which are attached to your teeth. Unlike some other systems, they are almost invisible to the naked eye and much less noticeable than traditional braces. They are usually worn for around 6-9 months and are very effective at straightening teeth.
Aligners
Aligners can also be used to straighten teeth. This treatment consists of a course of ultra-clear custom made removable retainers. They look like gum shields and are worn at all times except for eating and cleaning.
There are lots of different ways to achieve the perfect smile. If you need to find out more about our teeth straightening treatments, do not hesitate to get in touch with us.





