

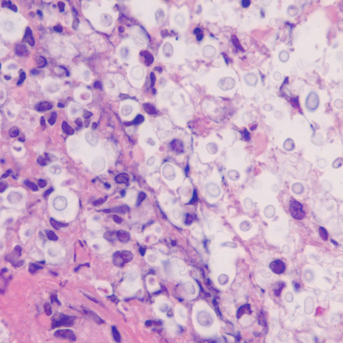
Cryptococcosis is a fungal infection caused by Cryptococcus neoformans or Cryptococcus gattii. It commonly affects people with weakened immune systems, such as those with HIV/AIDS or undergoing chemotherapy. Treatment for cryptococcosis involves antifungal medications and therapies.
The first line of Cryptococcosis Treatment is typically a combination of antifungal drugs, including amphotericin B and flucytosine. These drugs work together to target the fungal infection and reduce the risk of drug resistance. Once the infection is under control, patients are usually switched to oral medications such as fluconazole or itraconazole for long-term maintenance therapy.
In addition to medications, other therapies may be used to manage the symptoms of cryptococcosis and support the immune system. These may include corticosteroids to reduce inflammation, oxygen therapy to help with breathing difficulties, and fluid and electrolyte replacement to manage dehydration.
It is important to seek medical treatment promptly if you suspect you may have cryptococcosis, as early treatment can improve outcomes and reduce the risk of complications. With proper medical care, many people with cryptococcosis are able to fully recover and manage their condition long-term.
For those with weakened immune systems, such as those with HIV or cancer, it's important to be vigilant about any symptoms and seek medical attention promptly. Additionally, those who have been exposed to environments where the fungus is known to thrive, such as bird droppings or soil contaminated with pigeon droppings, should also be aware of the signs and symptoms of cryptococcosis.
Early diagnosis is essential for successful treatment of cryptococcosis. By being aware of the signs and symptoms and seeking medical attention promptly, patients can receive the care they need to recover and improve their overall health.
Read More @ https://cmiinfonest.blogspot.com/2023/04/cryptococcosis-treatment-growing-need.html





