

Maintaining optimal oral health is essential for overall well-being and confidence. In Eltham, residents have access to a range of dental services tailored to address various oral care needs, from emergency dental treatments to professional teeth whitening. Let's explore the key practices and services that contribute to optimizing oral health and enhancing smiles in Eltham.
1. Emergency Dental Eltham:
Dental crises can happen at any time, causing pain and necessitating quick care. Residents gain from having access to skilled specialists' emergency dental Eltham. Whether it's severe tooth pain, a fractured tooth, or a knocked-out tooth due to an accident, emergency dental clinics in Eltham are equipped to provide prompt and effective care. Timely intervention can prevent further damage and alleviate pain, restoring comfort and peace of mind.
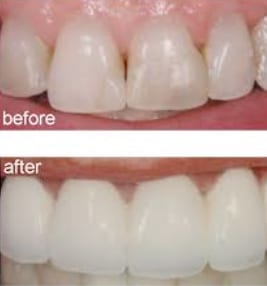
2. Teeth Whitening Eltham:
A radiant white smile may make a big impression and greatly increase confidence. For residents seeking to enhance the appearance of their smiles, teeth whitening services are readily available in Eltham. Professional teeth whitening treatments offered by dental professionals ensure safe and effective results, free from the risks associated with over-the-counter whitening products. Whether it's stubborn stains from coffee, tea, or tobacco, or natural discoloration due to aging, teeth whitening Eltham can rejuvenate smiles and restore confidence.
3. Key Oral Care Practices:
● Regular Dental Check-ups: Routine dental check-ups are crucial for maintaining oral health and preventing dental problems. Dentists in Eltham recommend biannual visits for professional cleanings, thorough examinations, and early detection of issues such as cavities, gum disease, and oral cancer. By staying proactive with dental check-ups, residents can address potential concerns before they escalate into more serious problems.
● Consistent Oral Hygiene: Good oral hygiene habits are the foundation of a healthy smile. Dentists advise brushing teeth at least twice a day with fluoride toothpaste, flossing daily to remove plaque and debris between teeth, and using mouthwash for added protection against bacteria. By incorporating these habits into their daily routine, residents can maintain fresh breath, prevent cavities, and preserve the integrity of their teeth and gums.
● Healthy Diet and Lifestyle Choices: Nutrition plays a significant role in oral health, with certain foods and beverages contributing to tooth decay and gum disease. Dentists recommend consuming a balanced diet rich in fruits, vegetables, and dairy products while limiting sugary snacks and acidic drinks. Additionally, avoiding tobacco products and practicing moderation with alcohol consumption can reduce the risk of oral health problems and promote overall well-being.
Final Thoughts:
In Eltham, optimal oral health is within reach thanks to a comprehensive range of dental services and proactive oral care practices. Whether it's addressing emergencies, enhancing smiles with teeth whitening, or maintaining regular check-ups and hygiene routines, residents have access to the resources and expertise needed to achieve radiant smiles and lifelong oral wellness. By prioritizing oral health and partnering with trusted dental professionals in Eltham, residents can enjoy healthy, confident smiles for years to come.





