

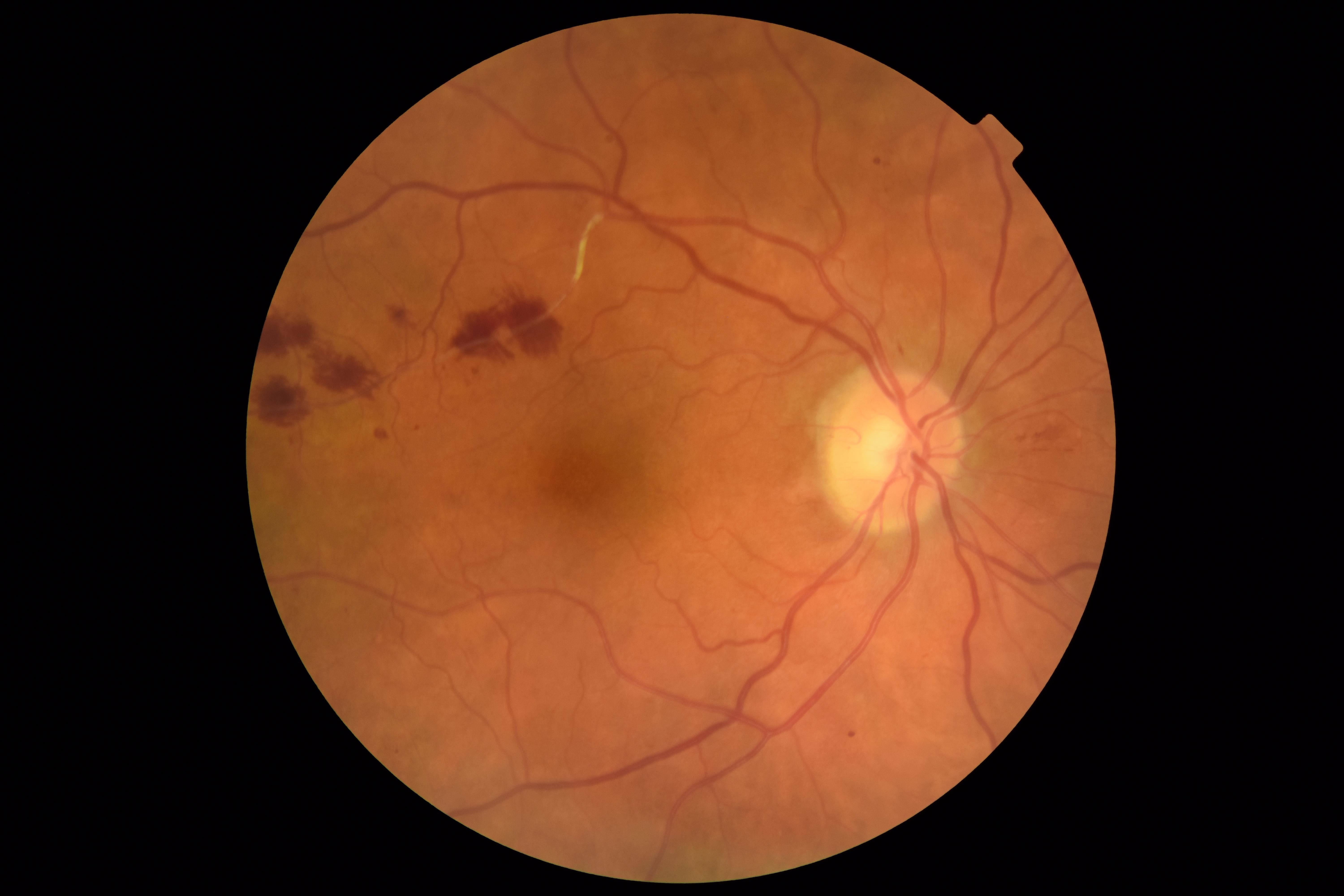
In recent years, significant strides have been made in understanding and treating NPHP5 retinal degeneration on a global scale. This inherited retinal disorder, characterized by progressive vision loss, affects individuals worldwide, prompting concerted efforts in research and treatment development. Let's delve into the multifaceted approaches and innovations driving the quest for effective NPHP5 retinal degeneration treatment globally.
One of the primary focuses of Global Initiatives In NPHP5 Retinal Degeneration Treatment is the advancement of gene therapy. Gene therapy holds immense promise in addressing the underlying genetic mutations responsible for the condition. By delivering functional copies of the defective gene into the retina, researchers aim to halt or even reverse the degenerative process. Several clinical trials exploring gene therapy approaches are underway across different regions, offering hope for improved outcomes for patients.
Moreover, a collaborative effort among researchers, clinicians, and pharmaceutical companies is driving the development of targeted therapies tailored to the specific molecular pathways implicated in NPHP5 retinal degeneration. By identifying key biological targets, such as proteins involved in cell signaling or oxidative stress response, researchers are developing innovative drugs designed to slow disease progression and preserve vision.
In addition to genetic and pharmacological interventions, the global research community is actively exploring regenerative medicine approaches for NPHP5 retinal degeneration treatment. Stem cell therapy, in particular, holds promise in replacing damaged retinal cells and restoring visual function. Through ongoing research endeavors, scientists aim to refine techniques for generating specialized retinal cells from stem cells and optimizing their integration into the retina to achieve meaningful clinical benefits.
Beyond therapeutic interventions, global efforts in NPHP5 retinal degeneration treatment encompass comprehensive patient care and support initiatives. These initiatives focus on enhancing diagnosis and disease management through early screening programs, specialized clinics, and multidisciplinary care teams comprising ophthalmologists, genetic counselors, and other healthcare professionals. Furthermore, patient advocacy groups play a crucial role in raising awareness, providing resources, and advocating for improved access to innovative treatments and supportive services.
The journey toward effective NPHP5 retinal degeneration treatment is not without challenges. Regulatory approval processes, ethical considerations, and funding constraints pose significant hurdles to translating promising research findings into accessible therapies for patients worldwide. However, through collaborative research networks, public-private partnerships, and increased investment in rare disease research, the global community remains steadfast in its commitment to overcoming these obstacles and advancing the field of NPHP5 retinal degeneration treatment.
The landscape of NPHP5 retinal degeneration treatment is evolving rapidly on a global scale, driven by scientific innovation, collaborative partnerships, and a shared commitment to improving patient outcomes. From pioneering gene therapies to regenerative medicine breakthroughs and comprehensive patient care initiatives, diverse approaches are being explored to address this challenging condition. As research progresses and technologies continue to advance, the future holds promise for individuals living with NPHP5 retinal degeneration, offering hope for restored vision and improved quality of life.





