

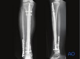
ADUERA Expert Tibia Nail Titanium by Siora Surgicals Pvt. Ltd. stands out as a top-tier intramedullary implant designed specifically for stabilizing tibia fractures in orthopedic practice. Crafted from high-grade titanium alloy, it combines lightweight durability with precise anatomical shaping to support everything from simple shaft breaks to complex distal patterns. Surgeons appreciate its user-friendly insertion and rock-solid locking, making it a staple in trauma rooms worldwide.
Design and Key Specifications
This nail comes in diameters from 8mm to 12mm, with lengths spanning 255mm to 375mm in 15mm increments, giving options for adult and pediatric cases alike. A smart 10.5° proximal bend eases entry via suprapatellar or infrapatellar portals, while full cannulation lets guide wires glide through for reamed or unreamed techniques. Multi-directional locking holes shine: two medio-lateral (ML) for compression or dynamization, plus an anterior-posterior (AP) for distal grip, all accepting self-tapping 3.9mm, 4.7mm, or 4.9mm bolts. End caps in 0-15mm lengths seal the proximal end, blocking tissue ingrowth to simplify future removals.
Surgical Technique Essentials
Start with the patient supine, knee flexed 90 degrees, and a precise patellar tendon split for safe entry—suprapatellar portals cut malalignment risks by hugging the natural tibial bow. Ream 1-1.5mm over nail size, pass a ball-tip nitinol wire, then drive the nail under fluoro to span the fracture by 2-3cm distally. Lock proximally with a jig for ML screws, distally freehand through perfect circles to avoid over-reaming. For unstable comminuted fractures, static mode holds rigid; dynamic slots allow controlled slide in transverse gaps. Total op time? Typically 60-80 minutes, with minimal soft-tissue trauma.
Clinical Applications
Ideal for diaphyseal tibia fractures from road accidents or sports falls, it tackles open Gustilo types post-debridement too. Distal third breaks work if 4cm metaphysis remains intact, pairing well with fibula plates for syndesmotic stability. In osteoporotic bone, multiplanar screws fight varus collapse; pathological lesions get load-sharing without over-stressing weak areas. Avoid in active infections or vascular-compromised legs—pre-op antibiotics and tourniquet control bleeding under 100ml.
Advantages Over Standard Nails
Titanium's biocompatibility slashes infection odds below 2%, and its low modulus matches bone to prevent stress shielding. Angular stability from ML/AP combos outperforms single-plane designs, boosting union rates to 97% in 12-16 weeks. Compared to plates, smaller incisions preserve quads and preserve blood supply for faster callus. Patients bear partial weight day three, full by week eight—no bulky externals or cast atrophy. Removal? Straightforward after 18 months, with rare ingrowth thanks to end caps.
Potential Complications and Fixes
Watch for anterior knee pain from hardware (5-10% cases)—medial starts or fat-pad excision help. Malreduction under 5°? Nail exchange or osteotomy. Non-union (rare, <3%) calls for bone graft via slot. Fat embolism drops with slow reaming; compartment syndrome needs urgent fasciotomy. Post-op protocol: elevate, early ROM physio, X-rays at 6 weeks. Long-term, excellent AOFAS scores hit 90+ for most.
Why Surgeons Choose ADEURA?
Modular kits with color-coded titanium parts speed setup, and anatomical contours reduce iatrogenic splits. Cost-effective local production matches import quality, perfect for high-volume centers.
This ultimate guide arms surgeons with the know-how to deploy ADUERA Expert Tibia Nail Titanium by Siora Surgicals confidently, turning tibia traumas into swift recoveries. Reliable fixation meets real-world demands, one precise insertion at a time.
Explore Siora’s Interlocking Nails, Spine Implants, Maxillofacial Implants, and other advanced orthopedic solutions at WHX Dubai 2026.





